Vivant
- Santé, Médecine et Sciences du Vivant
- Biologie & Biochimie
L’UE met en lumière un pancréas bioartificiel
- Tweeter
-
-
0 avis :
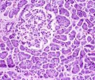
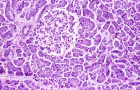
Après cinq années de recherche financées par l’UE à hauteur de 7 millions d’euros, le projet VANGUARD, coordonné par l’UNIGE, a développé un pancréas bioartificiel qui rétablit une glycémie normale dans des modèles précliniques. Quatre innovations issues de ce projet ont été distinguées par le Radar de l’innovation de la Commission européenne, comme présentant un fort potentiel de création de marché. Une distinction obtenue par seulement 14 % environ des innovations financées par l’UE. Dirigé par Ekaterine Berishvili, professeure au Département de chirurgie et au Centre du diabète de la Faculté de médecine de l’UNIGE, ainsi que responsable du Laboratoire d’isolement et de transplantation cellulaire au Service de transplantation des HUG, le consortium VANGUARD a réuni l’Université Lyon 1 Claude Bernard (France), la Ludwig-Maximilians-Universität München (Allemagne), l’Ospedale San Raffaele (Italie), l’Università del Piemonte Orientale (Italie) et l’Erasmus Universitair Medisch Centrum Rotterdam (Pays-Bas), combinant ainsi des compétences en biologie cellulaire, immunologie, édition génétique, biomatériaux, transplantation et éthique. Il s’est donné pour mission de créer une thérapie fonctionnelle et évolutive utilisant des sources cellulaires renouvelables et une approche basée sur les biomatériaux qui explore également la xénotransplantation – la transplantation de cellules, de tissus ou d’organes provenant d’une autre espèce – afin de pallier la pénurie de donneurs et donneuses.
Dans le cadre de ses travaux, VANGUARD a développé plusieurs innovations majeures : d'abord, Amniogel – un hydrogel conçu par l’UNIGE qui protège les cellules transplantées et favorise la vascularisation. Ensuite, des organoïdes d’îlots porcins pré-vascularisés – normalisent la glycémie avec la moitié de la dose cellulaire nécessaire aux greffes d’îlots libres, contribuant ainsi à pallier la pénurie de donneurs humains. Autre innovation, un pancréas bioartificiel porcin – restaure la normoglycémie chez des souris diabétiques avec des doses cellulaires réduites. Enfin, un pancréas bioartificiel humain – une structure sous-cutanée pré-vascularisée capable d’inverser le diabète dans des études précliniques.
Le Radar de l’innovation a classé ces avancées comme étant « prêtes pour le marché » ou « prêtes pour les affaires ». Leur inscription sur la plate-forme dédiée de l’UE accroît leur visibilité auprès des partenaires et investisseurs, tout en offrant un accès à des services de soutien tels que le Horizon Results Booster. « La science progresse et les bases sont posées ; il s’agit désormais de tracer la voie vers les patientes et les patients — sans perdre de temps. En combinant un biomatériau protecteur avec des amas cellulaires pré-vascularisés, nous avons démontré que des thérapies indépendantes des donneurs et donneuses et protégées contre le système immunitaire sont à portée de main. Je suis reconnaissante envers notre équipe exceptionnelle et nos partenaires. L’équipe est plus que jamais concentrée sur la suite », explique la Professeure Berishvili.
Le projet a également produit des ressources pour soutenir une mise en oeuvre éthique et responsable: des supports de formation, un site web destiné aux patientes et patients, des recommandations réglementaires pour les essais précoces et une note de politique publique plaidant pour une harmonisation des réglementations encadrant les produits innovants à base de gènes, cellules ou tissus (réglementation européenne ATMP) ainsi qu’un accès équitable aux futures thérapies.
UNIGE : https://www.unige.ch/medias/2025/lue-met-en-lumiere-le-projet-de-pancreas-bioartificiel-de-lunige
Noter cet article :
Vous serez certainement intéressé par ces articles :

Des bactéries de la bouche à l'origine de plusieurs types de cancer
Les bactéries qui se développent dans la bouche pourraient augmenter le risque de cancer situé au niveau de la tête et du cou, selon une étude récente. Le carcinome épidermoïde, qui naît dans les ...

Découverte d’une hormone capable d'inverser la maladie du foie gras
La stéatose hépatique, maladie du foie gras non alcoolique, que l’on appelle aujourd’hui MASH ou MASLD (pour Metabolic Dysfunction Associated Steatotic Liver Disease, maladie hépatique stéatosique ...

Des scientifiques découvrent pourquoi les cellules cancéreuses meurent différemment après une radiothérapie
Les scientifiques de l'Institut de recherche médicale pour enfants (CMRI) ont résolu un grand mystère dans la recherche sur le cancer : pourquoi les cellules meurent de différentes manières après la ...
Recommander cet article :
- Nombre de consultations : 0
- Publié dans : Biologie & Biochimie
- Partager :